矯正治療なら

〒607-8162 京都市山科区椥辻草海道町12  タケナカビル3F
地下鉄 東西線 椥辻駅 出口2 北側 徒歩1分

診療時間
9:30~13:00 × ×
14:00~18:00 × ×

△:14:00~17:00  休診日:木・日・祝祭日
※学会出席などにより休診日が変更になる場合がございます

ご予約・お問合せはこちら

矯正治療の種類

当院で扱っている「矯正治療の種類」についてご紹介いたします。

一般的な矯正

歯の表側に装置をつける、最もスタンダードな矯正治療です。当院では、ホワイトブラケットや白いワイヤーなど、歯の色と同じように白く、金属の装置に比べて目立ちにくい装置を用いて、矯正することもできます。

効率的に歯を動かせるため、なるべく短期間できれいな歯並びにしたい方におすすめです。また少しでも金額を抑えたい方には、金属のブラケットやワイヤーを用いたシンプルな治療法も行っています。

メタルブラケットによる矯正     660,000円(税込)

ホワイトブラケットによる矯正    770,000円(税込)

※上記はすべて自費診療です。

メリット
  • 効率的に歯を動かせる
  • ホワイトブラケットと白いワイヤーを使用すれば、金属の装置に比べて目立たない
デメリット
  • 金属製のブラケットの場合は矯正装置が目立つ
  • ホワイトブラケットは金属製と比すると強度が劣る

治療名:矯正治療
治療の説明:歯並びと噛み合わせの改善を目的に行う歯科治療。歯に矯正装置をつけて、歯やあごの骨に力をかけながらゆっくり動かしていきます。
治療の期間・回数:24~30ヶ月・24~30回
リスクや副作用:歯と顎のバランスによってはご自身の歯を抜く場合があります。まれに歯の根が短くなる可能性があります。装置装着後、痛みを感じることがあります(歯が動く正常な反応なので心配ありません)。頬の粘膜・唇・舌などに、口内炎ができることがあります。歯周病等で歯ぐきが下がっている方は、歯を動かすことでさらに歯ぐきが下がる可能性があります。重なっていた歯がきれいに並んだことで歯ぐきと両隣の歯との間に三角形の隙間ができる可能性があります。

子どもの矯正(小児矯正)

装置の紹介

Ⅱ期治療を行っている様子

お子さまの矯正治療はタイミングがとても大切です。早期のスタートが好ましい場合、生え変わりを待って開始する場合、中学生まで待つ場合など、治療の必要性やスタートのタイミングなどは患者さまによって異なります。

当院ではしっかり検査を行い、歯の生え変わりやあごの成長の状況を把握し、大人になってからもキレイな歯並び・健康な噛み合わせ・整った口元につながる、矯正治療をご提案します。

小児矯正 第Ⅰ期     220,000円(税込)

小児矯正 第Ⅱ期     440,000円(税込)

※上記はすべて自費診療です。

メリット
  • 矯正がしやすい
  • タイミングを合わせて矯正することできれいな歯並びになる

治療名:小児矯正治療
治療の説明:お子さまのうちに歯並びと噛み合わせの改善を目的に行う歯科治療。歯に矯正装置をつけて、歯やあごの骨に力をかけながらゆっくり動かしていきます。
治療の期間・回数:24~30ヶ月・24~30回
リスク・副作用:歯と顎のバランスによってはご自身の歯を抜く場合があります。まれに歯の根が短くなる可能性があります。装置装着後、痛みを感じることがあります(歯が動く正常な反応なので心配ありません)。頬の粘膜・唇・舌などに、口内炎ができることがあります。

マウスピース型矯正装置による矯正(アライナー型矯正装置 *)

透明なマウスピース型矯正装置を使用した矯正治療です。患者さま一人ひとりのお口に合わせてマウスピース型矯正装置を作成し、歯並びの変化に合わせて定期的にマウスピース型矯正装置交換していきます。1日に20時間以上装着していただきますが、いつでも取り外し可能なため、食事や歯磨きが普段通り快適に行えます。

アライナー型矯正装置 *  は、日本国薬事法上の医療機器として確認・承認を得ていません。また、海外型のカスタムメイト矯正装置は日本国歯科技工士法上の矯正装置に該当しません。

マウスピース型矯正装置による矯正 990,000円(税込)※自費診療です

メリット
  • 自分で取り外しができる
  • 透明なマウスピース型矯正装置を使うので、ワイヤーを使った矯正治療に比べて目立たない
  • 取り外しができるため、食事・歯磨きも普段通りできる
  • ホワイトニングが可能
デメリット
  • 1日20~22時間以上装着しないと効果が得にくい
  • 装置交換時に歯の圧痛を生じることがあります
  • 歯の傾斜のみの移動が多い
  • 抜歯した場合、予期しない移動が発生することがあります
  • 歯の形態のよっては矯正の力に差異を生じることがあります

【医薬品医療機器等法(薬機法)において現在未承認の医療機器を用いた治療について】
医療法人育成会 うえの歯科では、マウスピース
型矯正装置(インビザライン)をご提供しております。マウスピース型矯正装置(インビザライン)は医薬品医療機器等法(薬機法)において現在未承認ですが、当院ではその効果を認め導入しています。

  • 入手経路等の明示
    マウスピース型矯正装置「インビザライン」は米国アライン・テクノロジー社の製品です。当院はアライン・テクノロジー・ジャパンを通じて利用・入手しております。
  • 国内の承認医薬品等の有無の明示
    マウスピース型矯正装置「インビザライン」のほかにマウスピース型矯正装置(アライナー矯正)は、複数のシステムが開発されています。日本国内においても、マウスピース型矯正装置「インビザライン」に類似したマウスピース型矯正装置が販売されており、国内で薬事承認されているものもあります。
  • 諸外国における安全性等に係る情報の明示
    マウスピース型矯正装置「インビザライン」はアメリカ生まれの矯正治療システムです。インビザライン以外で歯科矯正を行った場合に潜在的に存在する副作用と同様の副作用をマウスピース型矯正装置「インビザライン」も有しますが、マウスピース型矯正装置「インビザライン」による治療において固有の重大な副作用の報告はありません。

※マウスピース型矯正装置(インビザライン)、は医薬品医療機器等法の承認を得ておりませんので、医薬品副作用被害救済制度の対象外となります。

治療名マウスピース型矯正装置「インビザライン」を含むマウスピース矯正
治療の説明:透明なマウスピース型の装置で行う矯正治療です。
治療の期間・回数:24~30ヶ月・24~30回
リスク・​副作用:歯磨き等のセルフケアを怠ると虫歯や歯周病のリスクが高くなります。装着時間を守らないと計画通りに歯が動かない、治療期間が延びる場合があります。矯正治療が完了した後は後戻りを防ぐために保定装置を装着します。保定装置を正しく使用しないと再度矯正治療が必要になる可能性があります。歯と顎のバランスによってはご自身の歯を削る場合があります(削る量は個人差があります)。まれに歯の根が短くなる可能性があります。装置装着後、痛みを感じることがあります(歯が動く正常な反応なので心配ありません)。歯周病等で歯ぐきが下がっている方は、歯を動かすことでさらに歯ぐきが下がる可能性があります。重なっていた歯がきれいに並んだことで歯ぐきと両隣の歯との間に三角形の隙間ができる可能性があります。

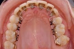
歯の裏側に装置を付ける矯正(リンガル矯正装置)

装置の紹介

リンガル矯正の様子。治療期間:約3年

歯の裏側に装置を付ける矯正治療です。表側からはワイヤーや金属の装置がほとんど見えないので、治療中の見た目が気になる患者さまに適しています。

また当院では、上の歯は裏側に、下の歯は表側に装置を設置する「ハーフリンガルブラケット」の対応も可能です。ハーフリンガルブラケットにすることで、見た目の良さを保ちながら矯正を行うことができます。

リンガル矯正装置による矯正 990,000円(税込)

※自費診療です

メリット
  • 矯正器具が従来の矯正治療に比べて目立たない
デメリット
  • 歯の内側に装置を付けるため、舌触りが悪くなる
  • 一般的な矯正に比べて費用が比較的高め

治療名:リンガル矯正
治療の説明:矯正装置を歯の裏側に装着して、歯を動かす矯正治療。「装置がほとんど見えない」というメリットがあります。
治療の期間・回数:24~30ヶ月・24~30回
リスク・副作用:装置に慣れるまでは話しづらい可能性があります。歯と顎のバランスによってはご自身の歯を抜く場合があります。まれに歯の根が短くなる可能性があります。装置装着後、痛みを感じることがあります(歯が動く正常な反応なので心配ありません)。頬の粘膜・唇・舌などに、口内炎ができることがあります。歯周病等で歯ぐきが下がっている方は、歯を動かすことでさらに歯ぐきが下がる可能性があります。重なっていた歯がきれいに並んだことで歯ぐきと両隣の歯との間に三角形の隙間ができる可能性があります。

部分矯正

矯正治療は歯並びと噛み合わせを治すための治療ですが、部分矯正は主に前歯の並びのみを整える治療になります。

部分矯正は、装置を取り付ける範囲を限定できる(全部の歯に付けなくても良い)ことと、全体の歯並びの矯正に比べて期間や治療費用が少なくて済むことがメリットです。

「歯並びは気になるけれど、全体ではなく一部だけを治したい」というご希望のある方はご相談ください。

部分矯正  330,000~385,000円(税込)※自費診療です。

メリット

  • 矯正装置を取り付ける部分が限定的
  • 全体の矯正に比べて費用がかからない
デメリット
  • 全体矯正に比べて、噛み合わせバランスを整えにくい場合がある
  • 限られたケースでしか適用できない

治療名:部分矯正
治療の説明:主に前歯など気になる部分のみに矯正装置をつけて歯を並べる治療法です。
治療の期間・回数:12~15ヶ月・12~15回
リスク・副作用:まれに歯の根が短くなる可能性があります。装置装着後、痛みを感じることがあります(歯が動く正常な反応なので心配ありません)。頬の粘膜・唇・舌などに、口内炎ができることがあります。歯周病等で歯ぐきが下がっている方は、歯を動かすことでさらに歯ぐきが下がる可能性があります。重なっていた歯がきれいに並んだことで歯ぐきと両隣の歯との間に三角形の隙間ができる可能性があります。

歯科矯正用アンカースクリューを用いた矯正

装置の紹介

アンカースクリュー2本を用いて進めた治療

矯正専用に開発されたアンカースクリュー(インプラント)を顎の骨に埋め込み、そこを支点としてワイヤーで歯を引っ張って歯を正しい位置により高い可能性で動かす矯正治療です。

歯科矯正用アンカースクリュー

1本 55,000円(税込)※自費診療です。

メリット

  • 予測可能性の高い結果が期待できる
デメリット
  • 歯科矯正用アンカースクリューを埋め込む必要がある

治療名歯科矯正用アンカースクリュー
治療の説明:歯科矯正用アンカースクリューを固定源にして、歯を移動させる方法。治療期間の短縮や難しい症例にも対応できるといったメリットがあります。
治療の期間・回数:24~30ヶ月・24~30回
リスク・副作用:治療時に出血を伴う可能性があります。歯科矯正用アンカースクリューを埋めるための外科手術が必要になります。手術後に、痛みや腫れ、出血、合併症などを引き起こす可能性があります。お口の中が不衛生になると、歯科矯正用アンカースクリュー周囲の歯ぐきが炎症を起こす可能性があります。あごの骨の状態によっては、埋めた歯科矯正用アンカースクリューが緩んだり、脱落することがあります。

矯正治療をご検討中の方へ

当院で行っている矯正治療の種類をご紹介します。歯の裏側に装置を付ける矯正や、お子さまの矯正も行っております。

受付から治療まで、当院の一般的な矯正治療の流れをご説明いたします。ご来院の前にぜひご確認ください。

心がけているのは「皆さまから信頼していただける医院作り」です。精密な治療のための機器を完備しています。

矯正治療に関して、疑問に思ったことや不安に思うことがございましたら、こちらをご覧ください。矯正治療にともなう一般的なリスクと副作用についても記載しています。

パソコン|モバイル
ページトップに戻る